Ukázali, ako vyzerá koronavírus od slovenských pacientov

22.9.2020 14:06

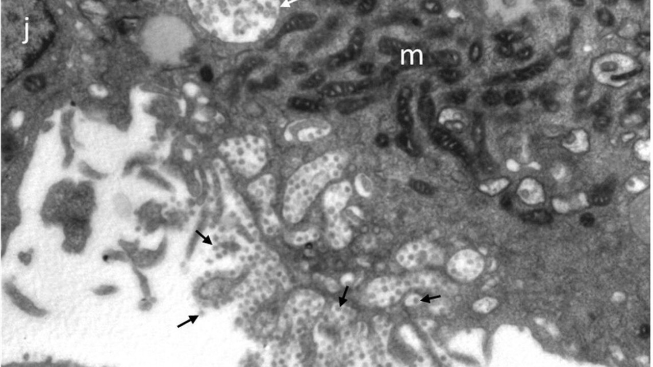
Takto vyzerá "náš" koronavírus. Vedcom zo Slovenskej akadémie vied sa pomocou elektrónovej mikroskopie podarilo vizualizovať vírusové častice koronavírusu SARS-CoV-2, ktoré boli izolované zo slovenských pacientov s Covidom-19. ⁠

Ukázali, ako vyzerá koronavírus od slovenských pacientov
Foto: Facebook.com/SAV

Ako uviedla SAV na svojom Facebooku, aj širokej verejnosti sa tak naskytá unikátny pohľad na "slovenský“ vírus, ktorý je už niekoľko mesiacov stredobodom pozornosti našich vedcov. Získané obrazové dáta sa v súčasnosti analyzujú. Cieľom je pochopiť, ako vírus interaguje s infikovanými bunkami hostiteľa.

zdielať
zdielať
sledovať
mReportér edit
Komentáre k článku
Zdielajte článok
Sledujte ta3 na Google news po kliknuti zvoľte "Sledovať"