Nákaze u nás podľahol ďalší pacient, pribudlo 175 prípadov

Na Slovensku pribudlo najnovšie 175 nových prípadov nákazy, najviac opäť v Bratislave. Ochorenie sa začalo šíriť aj v popradskej nemocnici, nákaza naberá na sile i na hornej Orave, krízový štáb tam preto sprísnil opatrenia a pribudla ďalšia červená zóna. Udalosti okolo pandémie sme s vami sledovali online.

Nákaze u nás podľahol ďalší pacient, pribudlo 175 prípadov
Foto: SITA/AP

Online článok ku koronavírusu sme ukončili. Viac informácií sa dozviete aj v našej špecializovanej sekcii.

00:35 Vo štvrtok 24. septembra bude mimoriadna schôdza parlamentu k národnému plánu obnovy. Inicioval ju opozičný Smer-SD, ktorý chce, aby prijal parlament stanovisko k tomuto dokumentu.

23:53 Pozrite si reláciu Spektrum, tentokrát sme sa pozreli do Južnej Afriky, kde sa hoteliéri pripravujú na dovolenkovú sezónu. Už teraz tam však predpovedajú obrovské straty. V druhej časti relácie sme sa vrátili späť do Európy. Zabudli ste si v obchode nasadiť ochranné rúško? Vo Francúzsku vás na to priateľsky a bez pokuty upozorní humanoidný robot.

22:05 Vývoj vakcíny proti ochoreniu COVID-19 by nemala byť súťaž. Povedal to turecký prezident Recep Tayyip Erdogan vo svojom utorkovom videopríhovore v rámci všeobecnej rozpravy 75. Valného zhromaždenia OSN. Erdogan uviedol, že vakcína proti novému druhu koronavírusu by mala byť k dispozícii pre všetkých. "Osud ľudstva nemôže byť v rukách hŕstky krajín," dodal, narážajúc na piatich stálych členov Bezpečnostnej rady OSN — Čínu, Francúzsko, Rusko, Britániu a USA.

21:35 Poslanci maďarského parlamentu na úvod jesennej schôdze prišli do zákonodarného zboru s nasadenými rúškami. V Sándorovom paláci, v sídle hlavy štátu, kde prezident János Áder odovzdával dekréty ministerke, štátnym tajomníkom i generálom, však z platných epidemiologických opatrení odignorovali nosenie rúšok i dodržiavanie fyzického odstupu, všimol si v utorok spravodajský server Blikk.hu.

21:10 Británia v utorok zaznamenala najvyšší denný nárast prípadov nákazy koronavírusom SARS-CoV-2 od začiatku mája a zároveň najväčší počet úmrtí spojených s ochorením COVID-19, ktoré vírus spôsobuje, od polovice júla. Informovali o tom televízia Sky News a denník The Guardian s odvolaním sa najnovšie vládne údaje.

21:05 Nákazu novým druhom koronavírusu potvrdili testy u 38 väzňov v segedínskej väznici Csillag börtön na juhu Maďarska. Podľa hovorcu Celoštátneho veliteľstva zariadení pre výkon väzby Zoltána Orosza infikovaní nemajú nijaké príznaky ani zdravotné problémy. Previezli ich do karantény do Ústrednej nemocnice BVOP v Tököli v Peštianskej župe. Celý komplex väznice dezinfikovali. Naďalej tam platí zákaz návštev. Odsúdení môžu udržiavať kontakty so svojimi blízkymi iba prostredníctvom telefónu či internetu, uviedol server.

20:25 V dôsledku nákazy novým druhom koronavírusu zomrelo v Spojených štátoch už viac ako 200 000 ľudí — konkrétne najmenej 200 005. Informoval o tom v utorok britský denník The Guardian s odvolaním sa na najnovšie údaje americkej Univerzity Johnsa Hopkinsa.

20:02 V Česku pribudlo v utorok do 18.00 h 873 potvrdených prípadov nákazy novým druhom koronavírusu, čo je o 90 viac než bol priebežný stav v pondelok večer. Informoval o tom na svojej webovej stránke spravodajský portál ČT24 s odvolaním sa na údaje ministerstva zdravotníctva.

19:30 Ambulantní lekári kritizujú povinnosť zabezpečiť ochranné prostriedky na jeden mesiac za takmer 4000 eur. Hovorkyňa ministerstva zdravotníctva Zuzana Eliášová uviedla, že v súlade s aktuálne platným pandemickým plánom majú poskytovatelia zdravotnej starostlivosti v ambulantnej sfére povinnosť mať zabezpečené osobné ochranné pomôcky na jeden mesiac.

Ďalšie náklady podľa ambulantných lekárov predstavujú PCR testy. „Na jednej strane si v ambulanciách majú lekári spraviť ich zásoby, na druhej strane sa otvárajú veľkokapacitné odberové miesta, kam majú byť pacienti smerovaní, o čom hovorí aj usmernenie zdravotných poisťovní,“ uviedla Asociácia súkromných lekárov.

19:12 Neprehliadnite ani naše Hlavné správy, zhrnuli sme do nich to najpodstatnejšie z dnešného dňa.

18:32 Reštaurácie v Česku budú musieť svoje prevádzky od štvrtka zatvoriť už o 22.00 h. Povedal to v utorok denníku Mladá fronta DNES minister zdravotníctva Roman Prymula s tým, že oficiálne bude sprísnenie obmedzení oznámené v stredu. "Ľudia tam môžu byť v skoršom čase a bohužiaľ to je jedno z najrizikovejších miest. Opatrenie, ktoré sa týkajú skrátenia (otváracích hodín reštaurácií) na desať hodín večer sa skutočne stane," vyhlásil nový minister, ktorý v pondelok nahradil vo funkcii Adama Vojtěcha.

17:55 Britský premiér Boris Johnson v utorok oznámil sprísnené epidemiologické nariadenia pre Anglicko, ktoré by podľa neho mohli platiť až nasledujúcich šesť mesiacov.

17:40 Daňové priznania za minulý rok bude potrebné podať k 31. októbru tohto roka. Týka sa to tých, ktorí ich doteraz nepodali pre koronakrízu. Ku koncu septembra sa totiž skončia lex korona opatrenia v oblasti daní. Počíta s tým vládny návrh zákona o niektorých mimoriadnych opatreniach vo finančnej oblasti v súvislosti so šírením nového koronavírusu, ktorý schválil parlament 106 hlasmi. Rokoval o ňom v skrátenom legislatívnom konaní.

17:30 Pokles slovenskej ekonomiky v tomto roku bude na úrovni 6,7 %. Predpokladá to najnovšia makroprognóza, ktorú v utorok na tlačovej konferencii predstavil minister financií Eduard Heger.

17:23 Summit Európskej únie v Bruseli, ktorý bol pôvodne naplánovaný na 24. a 25. septembra, sa odkladá na neskorší termín — uskutoční sa 1. a 2. októbra. Dôvodom je, že novým druhom koronavírusu sa nakazil ochrankár šéfa Európskej rady Charlesa Michela. Informoval o tom v utorok na Twitteri Michelov hovorca Barend Leyts.

Miestni obyvatelia sa sťažujú, že obmedzenia stigmatizujú chudobných

16:55 V hlavnom meste Španielska pre pribúdajúce prípady nákazy možno rozšíria obmedzenia pohybu v ďalších častiach mesta. Obyvatelia sa sťažujú na diskrimináciu. V 37 robotníckych štvrtiach, kde bola 14-dňová miera prenosu vyššia ako 1 000 na 100 000 obyvateľov, v pondelok nasadili políciu. Ľudia musia zdôvodniť svoje cesty mimo tieto štvrte. Miestni sa sťažujú, že obmedzenia stigmatizujú chudobných, ktorí často žijú v stiesnenejších podmienkach a pri zamestnaní sa spoliehajú na verejnú dopravu.

16:45 Španielska vláda a miestne úrady skrátia zo 14 na desať dní dĺžku karantény pre ľudí, ktorí boli v kontakte s osobami pozitívne testovanými na nový druh koronavírusu. Španielsko opäť zaznamenáva jeden z najprudších nárastov prípadov nákazy v Európe.

16:43 "Informácie o ochorení COVID-19 a prevencii nákazy čerpajte iba z hodnoverných a overených zdrojov. Dôverujte poznatkom a skúsenostiam odborníkov, ktorí priamo skúmajú toto nové nákazlivé ochorenie, alebo sa podieľajú na liečbe pacientov," zdôrazňuje Úrad verejného zdravotníctva Slovenskej republiky na sociálnej sieti.

16:32 Predsedníčka strany Za ľudí a ministerka pre investície, regionálny rozvoj a investície Veronika Remišová tvrdí, že cez „záchrannú sieť" prepadli niektorí živnostníci, podnikatelia či pracovníci najmä v oblasti kreatívneho priemyslu a športu. Uviedla to na tlačovej konferencii s tým, že Európska únia v rámci balíka peňazí z fondu obnovy poskytne peniaze aj do súčasného programového obdobia. Bude to približne 780 miliónov eur.

16:10 Mestám s počtom obyvateľov vyšším ako 20-tisíc nariadila v apríli vláda vytvoriť miesta určené pre karanténu pre ľudí bez domova. Kontajnerové mestečká zriadili v Bratislave aj Banskej Bystrici. Státisíce eur však do karanténneho zariadenia pre bezdomovcov investovali aj v Košiciach. V Prešove sa zatiaľ takéto zariadenie nepodarilo vytvoriť.

16:08 V Rakúsku pribudlo za uplynulých 24 hodín 645 nových prípadov nákazy novým druhom koronavírusu a štyri úmrtia. Zároveň za toto obdobie pribudlo viac vyliečených pacientov (796). Najviac nových prípadov hlásili Viedeň (205). Rakúsko eviduje aktuálne 8220 aktívnych prípadov nákazy, čo predstavuje pokles o 155 infikovaných. Ochoreniu Covid-19 podľahlo doteraz 772 ľudí.

15:50 Ruské ministerstvo zdravotníctva vydalo povolenie na uskutočnenie klinických skúšok vakcíny proti koronavírusu SARS-CoV-2, ktorú vyvinulo Federálne vedecké centrum pre výskum a vývoj imunobiologických preparátov pomenované po mikrobiológovi Michailovi Čumakovovi. Ako informoval spravodajský portál Meduza.io, ide v poradí o tretiu testovanú ruskú vakcínu proti koronavírusu.

Testovanie sa začne čoskoro, a to v mestách Kirov, Petrohrad a Novosibirsk. Zúčastní sa na ňom viac ako 3000 dobrovoľníkov. Federálne vedecké centrum zdôraznilo, že vedci takto získajú dostatočný objem dát na výskumné účely.

Dobrovoľníci budú po zaočkovaní 16 dní izolovaní v nemocnici, kde ich stav budú monitorovať lekári. Ukončenie výskumu je naplánované na november.

15:35 Na Slovensku pribudlo ďalšie úmrtie v súvislosti s novým koronavírusom, spolu tak evidujeme 41 úmrtí. "Zosnulý je 78-ročný muž, hospitalizovaný bol vo Fakultnej nemocnici v Trenčíne, kde zomrel 19. septembra. Následná pitva potvrdila pľúcnu formu ochorenia COVID-19," informovalo ministerstvo zdravotníctva.

15:22 Na stredných školách sa blíži čas organizovania stužkových slávností. Ozývajú sa však hlasy, že by ich mali preložiť na budúci rok. Riaditelia škôl tvrdia, že nedostali presné pokyny, ako majú ďalej postupovať.

15:06 Regionálne úrady verejného zdravotníctva na Slovensku v pondelok zaznamenali väčšinu nových prípadov ochorenia Covid-19 u aktívne dohľadaných kontaktov. Početnejšie prípady hlásili RÚVZ v Bratislave, Trnave, Ružomberku, Trenčíne a Námestove.

14:53 Koronavírus potvrdili u klientov aj zamestnancov zariadenia sociálnych služieb v Trstenej. Ako uviedol Úrad verejného zdravotníctva, tieto osoby tvorili väčšinu potvrdených prípadov v územnej pôsobnosti Regionálneho úradu verejného zdravotníctva Dolný Kubín, pričom časť z týchto prípadov bola vykázaná v okrese Ružomberok. V zariadení sú zakázané návštevy, RÚVZ v spolupráci s krízovými štábmi okresov Námestovo a Tvrdošín pripravuje lokálne opatrenia pre tieto okresy.

14:40 Krízový štáb mesta Vráble rozhodol o neuzatvorení Materskej školy Horný Ohaj. Štáb zasadal bezprostredne po tom, ako mala zamestnankyňa materskej školy príznaky ochorenia Covid-19. Riaditeľke školy zároveň uložil povinnosť informovať rodičov o vzniknutej situácii a o potrebe venovať zvýšenú pozornosť zdravotnému stavu detí, uviedol primátor Tibor Tóth.

14:20 Občania Maďarska vracajúci sa zo zahraničia už nemusia absolvovať 14-dňovú úradnú karanténu, ale iba desaťdňovú, pripomenul v utorok v Budapešti člen operačného centra krízového štábu Róbert Kiss.

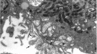
14:07 Takto vyzerá "náš" koronavírus. Vedcom zo Slovenskej akadémie vied sa pomocou elektrónovej mikroskopie podarilo vizualizovať vírusové častice koronavírusu SARS-CoV-2, ktoré boli izolované zo slovenských pacientov s Covidom-19. ⁠

13:55 Udeľovanie Nobelovej ceny za mier sa tento rok neuskutoční tradične na radnici nórskeho hlavného mesta Oslo, ale na pôde univerzity v Oslo. Ceremónia bude v dôsledku pandémie menšia, než v ostatných rokoch. "V mnohých ohľadoch je to zvláštny a náročný rok. Prežívame rovnakú situáciu ako mnohí iní. Konkrétne ide o to, že musíme niektoré veci spraviť novým spôsobom," uviedol riaditeľ Nórskeho Nobelovho výboru Olav Njölstad.

13:46 Rusko zaznamenalo v utorok v priebehu posledných 24 hodín 6215 nových prípadov nákazy koronavírusom, čím celkový počet infikovaných stúpol na 1 115 810. V priebehu posledných 24 hodín bolo v Rusku zaevidovaných aj 160 úmrtí súvisiacich s koronavírusom, čo je najviac od 31. júla. Ich celkový počet od začiatku pandémie v krajine dosiahol 19.649.

13:24 Činnosť Krajského operačného strediska Záchrannej zdravotnej služby v Trnave je od pondelka až do odvolania prerušená. Dôvodom je pozitívny test na ochorenie Covid-19 u viacerých operátorov tiesňovej linky 155, potvrdila hovorkyňa Operačného strediska ZZS SR Alena Krčová.

13:04 Finančné sankcie za nedodržanie sprísneného nariadenia nosiť rúška v Maďarsku v rámci boja proti šíreniu nového druhu koronavírusu udelili policajti doposiaľ v 49 prípadoch, informoval v utorok v Budapešti operačný štáb.
Podľa internetového vydania týždenníka Heti Világgazdaság policajný člen štábu Róbert Kiss uviedol, že policajti riešili 22 prípadov nenosenia rúška v prostriedkoch hromadnej dopravy a 27 prípadov v obchodných zariadeniach.

12:50 Svetová zdravotnícka organizácia v období siedmich dní - do 20. septembra - zaznamenala 1.998.897 nových prípadov nákazy koronavírusom, vyplýva to z údajov WHO. Takmer dvojmiliónový prírastok v počte prípadov podľa AFP v porovnaní s predchádzajúcim týždňom predstavuje nárast o šesť percent, je to "najvyšší počet zaznamenaných prípadov nákazy za jeden týždeň od začiatku pandémie".

12:33 Druhý lockdown v súvislosti s pandémiou by bol "zlyhaním vlády, a nie Božím činom". Povedal to v utorok líder britskej opozičnej Labouristickej strany Keir Starmer. Takýto radikálny krok by podľa Starmera mohol mať "nesmierne" následky na fyzické a psychické zdravie ľudí i na hospodárstvo krajiny.

12:27 V Poľsku pribudlo za uplynulých 24 hodín 711 nových potvrdených prípadov infekcie koronavírusom, čím počet nakazených dosiahol 80 699. V súvislosti s ochorením Covid-19 zomrelo ďalších 18 ľudí, celkový počet obetí tak stúpol na 2316. Ide o pokles v porovnaní s 748 novými prípadmi nahlásenými predchádzajúci deň.

12:10 V Chorvátsku zistili za posledných 24 hodín 144 nových prípadov nákazy koronavírusom a zomreli tam dvaja ďalší ľudia na ochorenie Covid-19. V utorok to oznámil národný úrad civilnej ochrany. Počet aktívnych prípadov nákazy je v balkánskej krajine 1894. V nemocniciach liečia 278 pacientov, z nich 24 je napojených na pľúcny ventilátor.

11:33 Martinský Regionálny úrad verejného zdravotníctva uzavrel v utorok do karantény vysokoškolský internát a jedáleň Jesseniovej lekárskej fakulty Univerzity Komenského v Martine. Informovala o tom hovorkyňa UK v Bratislave Lenka Miller. Minulý týždeň sa na fakulte objavili štyri prípady študentov pozitívne testovaných na ochorenie Covid-19.

11:32 Šíri sa koronavírus medzi deťmi ľahko? Odpoveď hľadala Americká akadémia pediatrov aj juhokórejskí vedci. Vyzerá to tak, že koronavírus sa šíri medzi deťmi aj tínedžermi, ale ako ľahko, to závisí od veku. Výskum stále prebieha, ale deti vo veku do desať rokov prenášajú koronavírus na ďalšie deti a dospelých s menšou pravdepodobnosťou než tie staršie.

11:17 Medzi ôsmimi obeťami s ochorením Covid-19, ktoré za uplynulý deň pribudli v Maďarsku, sú aj traja chronicky chorí pacienti vo veku od 37 do 54 rokov, informovala vládna informačná stránka koronavirus.gov.hu. Najmladšou obeťou je 37-ročná pacientka trpiaca akútnou leukémiou. S ochorením Covid-19 zomrel aj 51-ročný muž trpiaci cukrovkou a obezitou a aj 54-ročný pacient liečený na vysoký tlak a cukrovku.

11:10 Britský vládny Úrad pre verejné zdravie varuje, že osoby, ktoré budú mať v rovnakom čase chrípku a tiež ochorenie Covid-19, budú v mimoriadnom ohrození života. Vyplýva to z novej štúdie, informovala v utorok spravodajská stanica Sky News.

10:57 Zväz obchodu je sklamaný, že predavačky, predavači, pokladníci a ďalší pracovníci obchodu, ktorí počas prvej vlny koronakrízy pracovali, neboli zaradení do štátnej odmeny pre pracovníkov v prvej línii.

10:50 Českom sa ženie druhá vlna koronavírusu. Vláda opäť aktivovala ústredný krízový štáb. Naši západní susedia majú zároveň nového ministra zdravotníctva a premiér Andrej Babiš priznal pochybenie. O tom, čo tieto zmeny znamenajú, sme sa pýtali politológa Jána Kubáčka.

10:32 Nemecko zrejme v stredu rozhodne o zaradení Českej republiky v súvislosti s koronavírusom na zoznam rizikových oblastí. V Bruseli to Českej televízii povedal český minister zahraničných vecí Tomáš Petříček.

10:11 Uplynulý deň pribudlo v Maďarsku 633 prípadov potvrdenej nákazy novým druhom koronavírusu. S ochorením Covid-19 zomrelo osem pacientov, informovala v utorok vládna informačná stránka koronavirus.gov.hu. Operatívny štáb nariadil pre výskyt nákazy koronavírusom karanténu vo forme mimoriadnych prázdnin v 23 materských školách a na šiestich školách.

10:07 Vyliečilo sa ďalších 97 pacientov, spolu už 3668. S potvrdeným ochorením Covid-19 je hospitalizovaných 115 pacientov. Na JIS je 10 osôb, podporu umelej pľúcnej ventilácie potrebuje 8 pacientov.

10:05 Pozitívny výsledok testov mali ľudia vyšetrení v okresoch: Bratislava (26), Ružomberok (20), Trnava (20), Trenčín (15), Námestovo (10), Nitra (7), Snina (7), Tvrdošín (7), Senica (6), Skalica (5), Žilina (4), Dunajská Streda (3), Hlohovec (3), Michalovce (3), Nové Mesto nad Váhom (3), Prešov (3), Topoľčany (3), po dva prípady boli v okresoch Banská Bystrica, Dolný Kubín, Galanta, Ilava, Košice, Liptovský Mikuláš, Malacky, Pezinok, Piešťany, Poprad, Senec a jeden prípad zaznamenali okresy Čadca, Humenné, Levoča, Martin, Myjava, Prievidza, Púchov a Zvolen.

10:00 Na Slovensku pribudlo 175 nových prípadov nákazy, celkovo evidujeme 6931 pozitívne testovaných na nový koronavírus. Počas uplynulého dňa urobili spolu 2664 testov. Informovalo o tom na svojej stránke Národné centrum zdravotníckych informácií.

9:54 Ukrajina zaznamenala za posledných 24 hodín 2884 nových prípadov ochorenia Covid-19 a celkový počet prípadov je tak 181 237. Vyplýva to z údajov Systému monitorovania epidémie koronavírusu ukrajinskej Rady národnej bezpečnosti a obrany.

9:50 Doposiaľ 15 pozitívne testovaných zahraničných študentov na nový koronavírus zachytila Lekárska fakulta Univerzity Pavla Jozefa Šafárika v Košiciach. Sedem z nich bolo z takzvaných bezpečných krajín. Potvrdil to dekan fakulty Daniel Pella. Univerzita eviduje ďalších päť prípadov nákazy na internátoch.

9:40 Návštevnosť hotelov sa v júli 2020 medzimesačne strojnásobila, oproti vlaňajšku bolo hostí o 20 % menej. Prepad počtu zahraničných návštevníkov sčasti nahradil rast domácich hostí. Informoval o tom Štatistický úrad SR.

9:33 Vo Veľkej Británii budú od štvrtka platiť prísnejšie opatrenia proti šíreniu koronavírusu. Týkajú sa predovšetkým oblasti gastronómie. Premiér Boris Johnson má o nich informovať britskú verejnosť v živom televíznom vysielaní. Epidemiologická situácia sa v Británii rapídne zhoršuje.

9:20 Český premiér dnes ráno uviedol do funkcie nového ministra zdravotníctva Romana Prymulu. Babiš po bleskovej výmene od nového šéfa očakáva krízové riadenie rezortu. "Nedokážem si predstaviť nikoho kompetentnejšieho, kto by stál na čele boja proti druhej vlne pandémie. Viem, ako skvelo ste obstál, keď sa bojovalo s prvou vlnou, a plne verím, že rovnako obstojíte aj teraz vo veľmi zložitej situácii," vyjadril sa v pondelok prezident Miloš Zeman, keď Prymulu v Lánoch menoval do čela ministerstva zdravotníctva.

9:05 Pozrite si blok správ venovaných pandémii vo vysielaní TA3 o 8. hodine.

8:40 India hlásila za posledných 24 hodín 75.083 nových prípadov nákazy koronavírusom, ukazujú údaje federálnych zdravotníckych úradov zverejnené v utorok. Ide o najnižší denný počet za takmer mesiac, doplnila tlačová agentúra Reuters. Za posledných 24 hodín zaznamenali aj 1053 úmrtí na ochorenie COVID-19 spôsobované novým druhom koronavírusu. V Indii majú zatiaľ celkovo 5,6 milióna prípadov infekcie, čo je druhý najvyšší počet po Spojených štátoch.

8:15 Česko zaznamenalo v pondelok 1476 nových prípadov nákazy koronavírusom, vyplýva z údajov tamojšieho ministerstva zdravotníctva zverejnených v noci na utorok. V priebehu nedele potvrdili v ČR infekciu 985 pacientom a v sobotu ich bolo 2046. V piatok evidovali v krajine 2111 prípadov po štvrtkovom rekordnom počte 3130 novoinfikovaných. Celkovo Česko potvrdilo 50.764 prípadov nákazy a 522 súvisiacich úmrtí.

Aktuálny počet nakazených dosiahol 24.817, z nich približne 494 je hospitalizovaných. Vyliečilo sa dosiaľ 25.425 ľudí.

8:05 Viac než 60 bohatých krajín sveta sa už pridalo ku globálnej iniciatíve Svetovej zdravotníckej organizácie s názvom COVAX, ktorá má zabezpečiť spravodlivý prístup k cenovo dostupným vakcínam proti ochoreniu COVID-19 všade na svete a pre každého. Na aktualizovanom zozname zverejnenom v pondelok však chýbajú napríklad Spojené štáty, Čína či Rusko.

7:50 Na pôde OSN v New Yorku sa v utorok začne 75. Valné zhromaždenie organizácie. Svetoví lídri dostanú na všeobecnej rozprave príležitosť vyjadriť sa ku globálnym problémom ľudstva. Vzhľadom na pandémiu koronavírusu sa väčšina stretnutí uskutoční virtuálne.

7:30 Fínsko informovalo, že z dôvodu pandémie spôsobenej koronavírusom SARS-CoV-2 ruší veľké vojenské cvičenie plánované na budúci rok. Na manévroch Arctic Lock sa malo zúčastniť 20.000 vojakov z 13 krajín. Pozvaní boli aj pozorovatelia NATO a EÚ.

7:13 Pohostinstvá, bary a reštaurácie v Anglicku budú musieť od štvrtka zatvoriť po 22.00 h svoje prevádzky, pričom fungovať budú môcť už len s obsluhou. Takéto opatrenia má spolu s ďalšími novými epidemiologickými obmedzeniami oznámiť v utorok večer britský premiér Boris Johnson, informovali v noci na utorok britské spravodajské stanice Sky News i BBC.

7:00 Český premiér Andrej Babiš v pondelňajšom mimoriadnom televíznom prejave vyzval občanov, aby v boji proti novému koronavírusu rešpektovali povinnosť nosiť ochranné rúška. Zároveň pripustil, že počas leta, keď došlo k uvoľneniu protipandemických opatrení, spravil chybu.

6:40 Koronavírus sa na hornej Orave dramaticky šíri. Za posledné dni pribudli desiatky nových pozitívnych prípadov. Krízový štáb preto sprísnil opatrenia a pribudla ďalšia červená zóna.

6:20 Covid-19 sa rozšíril aj na internom oddelení popradskej nemocnice. Viacerí zamestnanci tvrdia, že sa to stalo pre nedostatočné opatrenia zo strany vedenia tohto zariadenia. Riaditeľ zariadenia sa preto rozhodol odstúpiť z funkcie.

6:00 Udalosti sme s vami sledovali aj včera, pozrite si súhrn.

zdielať
zdielať
sledovať
mReportér edit
Komentáre k článku
Zdielajte článok
Sledujte ta3 na Google news po kliknuti zvoľte "Sledovať"